고주파 신경치료, 같은 신경치료인데 결과가 다른 3가지 이유 | 파주 서울이고운치과

고주파 신경치료, 같은 신경치료인데 결과가 다른 3가지 이유 | 파주 서울이고운치과

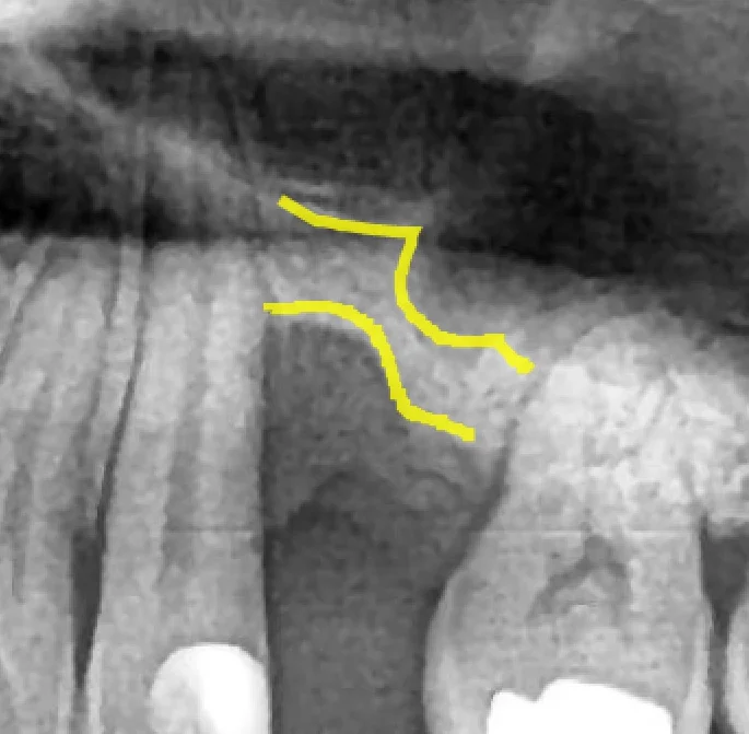
고주파 신경치료는 RF(Radio Frequency) 열에너지를 활용하여 근관 내 세균을 살균하고, 출혈을 조절하며, 치료 횟수를 단축하는 근관치료 방식입니다. 일반 신경치료의 장기 성공률은 74.7~85.2%로 보고되며, 실패 원인의 절반 이상이 불완전한 충전과 누락된 근관에서 비롯됩니다(International Endodontic Journal, 2022). 이 한계를 보완하기 위해 등장한 것이 RF(고주파) 방식의 근관치료입니다. 쉬운 목차 신경치료는 왜 하는 걸까? 일반 신경치료, 어디서 한계가 생기나? … Read more

치매 환자 임플란트, 수면진료로 안전하게 치료하는 방법 | 파주 서울이고운치과

치매 환자 임플란트 수면진료 중 생체징후 모니터링 장비

치매 환자도 임플란트가 가능합니다. 한국 65세 이상 치매 환자의 약 97%가 경도~중등도 단계로, 수면진료(의식하 진정요법)를 활용하면 안전하게 치료할 수 있습니다. 행동 조절이 어렵거나 입을 벌리기 힘든 분도 가수면 상태에서 편안하게 치매 환자 임플란트를 받을 수 있습니다. 치매 환자 임플란트, 왜 어려울까? 치매 환자의 치과 치료가 어려운 이유는 치아가 아니라 행동에 있습니다. 행동 조절의 어려움. 치매가 … Read more

임플란트 뼈이식 – 뼈가 부족해도 가능한 3가지 방법 | 파주 서울이고운치과

임플란트 뼈이식 수술 전후 파노라마 비교 - 상악동 거상술과 GBR 동시 시행

“뼈가 부족해서 임플란트가 어렵습니다.” 이 말을 듣고 치료를 포기하신 분들이 적지 않습니다. 하지만 임플란트 뼈이식을 통해 부족한 뼈를 보충하면, 대부분의 경우 임플란트 식립이 가능합니다. 국제 학술 연구에 따르면 뼈이식 후 임플란트 생존율은 평균 98.5%(PMC Systematic Review)에 달합니다. 중요한 것은 포기가 아니라, 정확한 진단과 적절한 수술 계획입니다. 왜 뼈가 부족해지나요? — 임플란트 뼈이식이 필요한 3가지 상황 … Read more

잇몸에서 피가 나요 – 5가지 원인과 치주질환 초기 증상 구별법 | 파주 서울이고운치과

잇몸에서 피가 나요 상담을 위한 서울이고운치과 진료실

“잇몸에서 피가 나요” — 양치할 때 이런 증상이 있다면 대부분 치태(플라크)와 치석에 의한 잇몸 염증, 즉 치은염의 신호입니다. 건강보험심사평가원 통계에 따르면 2024년 치주질환으로 병원을 찾은 환자는 1,959만 명으로, 감기(1,760만 명)를 넘어 외래 다빈도 질환 1위를 기록했습니다. 초기에 발견하면 스케일링만으로도 개선할 수 있지만, 방치하면 치조골까지 파괴되는 치주염으로 진행됩니다. 잇몸에서 피가 나요 — 원인은 무엇인가요? “잇몸에서 피가 … Read more

수면진료(수면치과), 어떤 경우에 받을 수 있나요? 5가지 적응증 | 파주 서울이고운치과

IMG 0 - 수면진료 도입 이미지 > alt: 수면진료 수면치과 편안하게 치료받는 환자 일러스트 > **제작**: AI 생성 (Gemini)

수면진료(수면치과), 어떤 경우에 받을 수 있나요? 5가지 적응증 수면진료는 의식하 진정요법을 통해 가수면 상태에서 치과 치료를 받는 방법입니다. 치과 공포증, 장시간 수술(전악 임플란트 등), 구역 반사가 심한 분, 고혈압 등 긴장 시 혈압이 올라가는 분에게 적합합니다. 전신마취와 달리 의식이 완전히 사라지지 않으며, 생체징후를 실시간 모니터링하면서 진행합니다. alt: 수면진료 적응증 5가지 치과공포증 장시간수술 구역반사 고혈압 장애 … Read more

사랑니 발치 후 주의사항 5가지 – 구강외과 전문의가 직접 알려드립니다 | 파주 서울이고운치과

IMG 0 - 사랑니 발치가 무서운 환자 > alt: 사랑니 발치 후 주의사항 - 치과 체어에 앉아 걱정하는 환자 일러스트 > 유형: AI생성 (Gemini) > 파일: iszrw4

사랑니 발치 후 주의사항 5가지 – 구강외과 전문의가 직접 알려드립니다 사랑니 발치 후 주의사항, 핵심만 정리했습니다. 통증과 붓기는 대부분 48시간 이내에 피크를 찍고, 5~7일이면 일상 복귀가 가능합니다. 거즈 압박, 냉찜질, 진통제 복용 타이밍만 제대로 지키면 회복은 어렵지 않습니다. 발치 후 불안한 이유는 대부분 하나입니다. 몰라서입니다. “이 정도 붓는 게 정상인지”, “이렇게 아파도 되는 건지” — … Read more

임플란트 수술 후 통증: 시간대별 회복 과정과 관리법

임플란트 수술 후 통증은 대부분 경도에서 중등도 수준이며, 수술 당일부터 3일째가 가장 불편합니다. 처방 진통제로 충분히 조절 가능하고, 1주일이면 대부분 일상 복귀가 가능합니다. 일반 발치와 비슷하거나 오히려 덜 아프다는 임상 연구 결과도 다수 보고되고 있습니다. 임플란트 수술 후 통증, 실제로 얼마나 아플까? 임플란트 수술 후 통증에 대한 막연한 두려움을 가진 분들이 많습니다. 하지만 실제 연구 … Read more

스케일링(치석제거)은 얼마나 자주 받아야 할까? — 주기, 비용, 관리법 총정리

스케일링은 치아 표면에 쌓인 치석을 제거하는 시술로, 잇몸 질환 예방의 가장 기본적인 방법입니다. 건강보험이 적용되어 연 1회 1~2만 원 수준으로 받을 수 있으며, 개인의 구강 상태에 따라 3~12개월 주기로 정기적으로 받는 것이 권장됩니다. 치석은 왜 생기고, 왜 제거해야 할까? 치석은 음식물 찌꺼기와 세균이 결합한 플라크(세균막)가 타액 속 칼슘과 반응하여 단단하게 굳은 것입니다. 칫솔질로 플라크를 완벽히 … Read more